How Long Can A Dog Live With A Lung Tumour / Lung Cancer Pictures X Rays Of Tumors Screening Symptoms And More / Lung metastasis in dogs (and sometime it happens to cats, too) is a tough situation to experience.
Dapatkan link
Facebook
X
Pinterest
Email
Aplikasi Lainnya
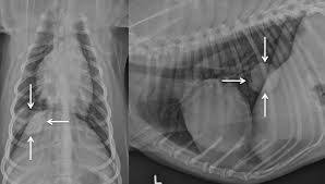
How Long Can A Dog Live With A Lung Tumour / Lung Cancer Pictures X Rays Of Tumors Screening Symptoms And More / Lung metastasis in dogs (and sometime it happens to cats, too) is a tough situation to experience.. The prognosis for primary lung cancer varies, and can be very difficult to predict for an individual dog. Rapid growing (doubling time of less than 183 days): Our pups are just like humans in the sense that each and every body will respond differently to medical conditions. The endearing habits, the joy, the unquestioning devotion your animal gave you fill your heart as you confront the expected loss. From a medical perspective, having a dog live the average lifespan is a good result.
If your dog is not a surgical candidate, the life expectancy for dogs with liver cancer is about six months. A dog with a single primary lung tumor that has not spread to the lymph nodes has the longest average survival time (an average of 12 months); Risks of canine lung cancer primary lung cancer (i.e. If they are found to be in decent health and are a good candidate for treatment, their life expectancy can be expanded even longer. If your dog already has evidence of cancer in other abdominal organs or in the lungs, the prognosis is grave and your dog may only have a few weeks left.
Can Dogs Live With One Lung Wag from images.wagwalkingweb.com Chemotherapy is a common treatment to help slow the spread of the disease—as left untreated, the average life expectancy for dogs after diagnosis under three months. Rapid growing (doubling time of less than 183 days): This information was relayed to both owners, including expected quality of life, both with and without treatment. As a matter of fact, almost 80% of primary lung cancer is caused by adenocarcinoma. Typical (doubling time of 183 to 365 days): If your dog has a single, small tumor, the procedure is often an effective method of treatment. Many of us view our dog as a beloved member of the family to whom we have made a commitment. It can range from 2 months to 2 years.
Lung tumors are relatively rare in dogs, accounting for only 1% of all cancers diagnosed.
When your dog is nearing the end of his/her life, the emotional weight that falls upon you can be tremendous. Dog cancers vary greatly in the speed at which they spread and grow, how easy they are to treat, and the predicted life expectancy for dogs diagnosed with that particular cancer. The prognosis for primary lung cancer varies, and can be very difficult to predict for an individual dog. However, if surgery is possible and the tumors are completely removed, a total remission may be recorded. Similar to other cancers in dogs, it is seen more often in dogs over seven years of age. If you were to look at some of the other statistics above, you can see that if you had a dog who underwent spleen removal 8 weeks ago, is not on chemo, and is still maintaining, you are beating the odds. On average, lung cancer in dogs will metastize in 2 to 10 months, depending on when the tumor is detected and what treatment options are available or the strength of the animal to fight the disease. The life expectancy of a dog diagnosed with lung cancer can be up to 22 months, depending on the type of tumor and on the treatment the dog undergoes. If your dog has a single, small tumor, the procedure is often an effective method of treatment. A dog's life expectancy at this point can be hours to days. Lung tumors are relatively rare in dogs, accounting for only 1% of all cancers diagnosed. Many of us view our dog as a beloved member of the family to whom we have made a commitment. Typical (doubling time of 183 to 365 days):
Amazingly, dogs can function normally even with up to 50 percent of their total lung volume removed. When tumors are in the early stage, can undergo surgical removal, and have not even come close to spreading to other parts of the body, dogs are expected to live for roughly twenty months. Lung tumors are relatively rare in dogs, accounting for only 1% of all cancers diagnosed. The best prognosis is seen in dogs with solitary lesions that are less than 2 inches in diameter. If your dog is 8, and the average lifespan for his weight and breed is 10 years, and your veterinarian tells you that his survival time for his cancer is about 18 months to two years, and calls that a long time, he's right from a medical perspective.
How To Handle Your Pet S Final Days With Care from images-prod.healthline.com It can range from 2 months to 2 years. Lung metastasis in dogs (and sometime it happens to cats, too) is a tough situation to experience. This is an extremely aggressive cancer that grows quickly and can spread fast, so it is essential to the survival of your dog to treat this disease early. If you were to look at some of the other statistics above, you can see that if you had a dog who underwent spleen removal 8 weeks ago, is not on chemo, and is still maintaining, you are beating the odds. When tumors are in the early stage, can undergo surgical removal, and have not even come close to spreading to other parts of the body, dogs are expected to live for roughly twenty months. Many of us view our dog as a beloved member of the family to whom we have made a commitment. The survival time fully depends on the type of tumor as well as the size of the mass in a dog's lungs. This section provides some general information about average prognoses.
Median survival for those dogs is roughly 2 or 3 months.
Cancer is not a death sentence for your dog. And make sure he's living his best life, even on chemo. Brachycephalic breeds (bulldogs, pugs, etc.), with their flat noses, are also at a greater risk than long nosed breeds. Chemotherapy is a common treatment to help slow the spread of the disease—as left untreated, the average life expectancy for dogs after diagnosis under three months. If the lymph nodes are involved or multiple tumors are found at the time of diagnosis, survival time is shortened to only 2 months. However, if a lung tumor is found incidentally and your dog is not displaying any symptoms, they may have a life expectancy of up to 1 year. Give him good supportive care and make his life as comfortable as possible. Dogs can undergo either a partial lung lobectomy (removal of a portion of the lobe) or a complete lung lobectomy (which sees the entire lobe removed). If your dog already has evidence of cancer in other abdominal organs or in the lungs, the prognosis is grave and your dog may only have a few weeks left. (chemotherapy is well tolerates in most dogs.) mct are the most common malignant skin tumor in dogs, accounting for about 15 to 20% of skin tumors. Dog cancers vary greatly in the speed at which they spread and grow, how easy they are to treat, and the predicted life expectancy for dogs diagnosed with that particular cancer. As a matter of fact, almost 80% of primary lung cancer is caused by adenocarcinoma. As with humans, there are a huge number of cancers that dogs can develop.
This information was relayed to both owners, including expected quality of life, both with and without treatment. If the lymph nodes are involved or multiple tumors are found at the time of diagnosis, survival time is shortened to only 2 months. Give him good supportive care and make his life as comfortable as possible. Amazingly, dogs can function normally even with up to 50 percent of their total lung volume removed. Typical (doubling time of 183 to 365 days):
Actor Sanjay Dutt Diagnosed With Stage 3 Lung Cancer Here Is What It Means The Times Of India from static.toiimg.com On average, lung cancer in dogs will metastize in 2 to 10 months, depending on when the tumor is detected and what treatment options are available or the strength of the animal to fight the disease. Our pups are just like humans in the sense that each and every body will respond differently to medical conditions. This information was relayed to both owners, including expected quality of life, both with and without treatment. (chemotherapy is well tolerates in most dogs.) mct are the most common malignant skin tumor in dogs, accounting for about 15 to 20% of skin tumors. A dog's life expectancy at this point can be hours to days. However, if a lung tumor is found incidentally and your dog is not displaying any symptoms, they may have a life expectancy of up to 1 year. Give him good supportive care and make his life as comfortable as possible. Amazingly, dogs can function normally even with up to 50 percent of their total lung volume removed.
Median survival for those dogs is roughly 2 or 3 months.
This section provides some general information about average prognoses. Prognosis of dog lung cancer depends on a number of actors, such as the dog's age, health condition, and whether the cancer has spread to other locations (e.g. And others will continue to live comfortably for months on end. (chemotherapy is well tolerates in most dogs.) mct are the most common malignant skin tumor in dogs, accounting for about 15 to 20% of skin tumors. Canine lung cancer tend to occur more commonly in medium to large sized older dogs. If your dog already has evidence of cancer in other abdominal organs or in the lungs, the prognosis is grave and your dog may only have a few weeks left. Symptoms of cancer in dogs conventional dog cancer treatment However, if a lung tumor is found incidentally and your dog is not displaying any symptoms, they may have a life expectancy of up to 1 year. Similar to other cancers in dogs, it is seen more often in dogs over seven years of age. Because lymphoma is often widespread, surgery is often unable to remove all traces of cancer. A dog with a single primary lung tumor that has not spread to the lymph nodes has the longest average survival time (an average of 12 months); According to scientists, the average lifespan of those dogs is about 2 to 3 months. If you were to look at some of the other statistics above, you can see that if you had a dog who underwent spleen removal 8 weeks ago, is not on chemo, and is still maintaining, you are beating the odds.
17.11.2021 · reuters logos and exchange rates of bitcoin, litecoin, monero and ether to swiss franc are seen on a cryptocurrency atm in zurich. Simply enter your business name and make a logo you'll love. Bitcoin falls more than 4% to near $60,000 ; The cryptocurrency cart continued to bleed on … Metaverse and its connection with cryptocurrency; What is a Cryptocurrency? รข" CriptoMonedas from criptomonedas.org The cryptocurrency cart continued to bleed on … Simply enter your business name and make a logo you'll love. 17.11.2021 · reuters logos and exchange rates of bitcoin, litecoin, monero and ether to swiss franc are seen on a cryptocurrency atm in zurich. Bitcoin falls more than 4% to near $60,000 ; Crypto turns rs 1,000 into rs 2.37 crore in a day; Metaverse and its connection with cryptocurrency; Browse stunning logos ta...
How To Make Business Cards On Word 2007 : How To Make Your Own Business Cards In Word : > how to create business card templates in word? . Now, using word for design and printing applic. Find business card templates in word. Once the file is open just move the cursor (click in) to the area that needs editing and delete or backspace the old text out and type in the new text. Brother creative center offers free, printable templates for cards & invitations. Open the properties of the template and adjust the dimensions to the size you want for your small business cards. Once the file is open just move the cursor (click in) to the area that needs editing and delete or backspace the old text out and type in the new text. Open the properties of the template and adjust the dimensions to the size you want for your small business cards. Adjust the alignment, indentation, and spacing. Is 3.5 inches by 2 inches. I am looking for instruction on using a prepared template in...
Early Stage Neck Cancer Symptoms Pictures : Throat Cancer Pictures Early Stage - Cancer News Update : A chronic cough that lasts for at least eight weeks. . Symptoms of throat cancer more about early signs stages treatment. These cells multiply out of control, eventually forming a tumor in part of the head or neck. If cervical cancer is diagnosed, relieving symptoms remains an important part of cancer care and treatment. The earliest stage of cancer is referred to as stage 1, and presents with a smaller tumor that has not yet grown deeply into nearby tissues or the lymph nodes. While head and neck cancers make up only about 4% of all cancer cases, at least 75% of them are caused by tobacco and alcohol use. A lump or pain in the neck : Your care team will conduct tests. Thyroid cancer is a rare cancer with 4 different types. Nearly all skin cancers can be treated effectively if they are found early, so knowing what to. Laryngeal cancer, or cancer of the larynx, is the...
Komentar
Posting Komentar