What Is A Carcinoma / What do carcinoma cancer cells have aginst my left arm ... : Learn how cancer spreads, possible symptoms, common sites where cancer spreads, and how to find out about treatment options.
Dapatkan link
Facebook
X
Pinterest
Email
Aplikasi Lainnya
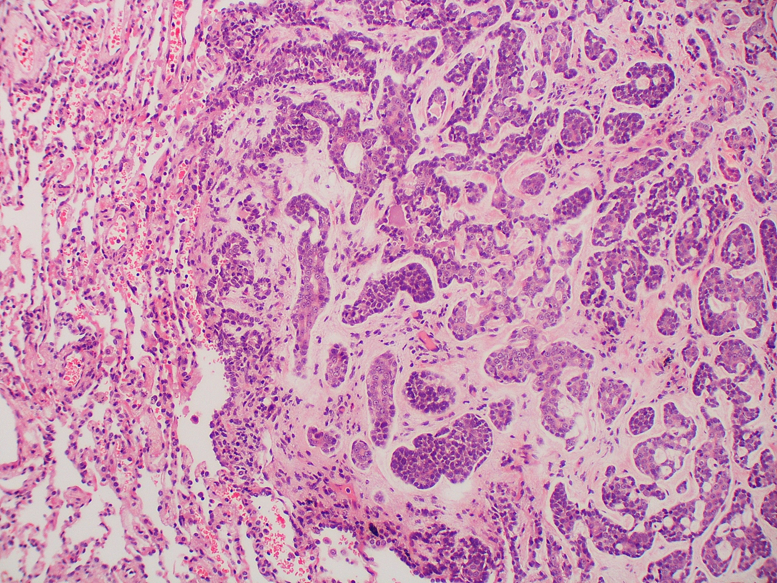
What Is A Carcinoma / What do carcinoma cancer cells have aginst my left arm ... : Learn how cancer spreads, possible symptoms, common sites where cancer spreads, and how to find out about treatment options.. Carcinomas may metastasize to bone, liver, lung, brain. It's usually found on areas of the body damaged by uv rays from the sun or tanning beds. Immunotherapy is a type of biological therapy.biological therapy is a type of treatment that uses substances made from living organisms to treat cancer. About 80% of all breast cancers are invasive ductal carcinomas. Bccs arise from abnormal, uncontrolled growth of basal cells.
Adenocarcinoma is a type of cancer that starts in the mucous glands inside of organs like the lungs, colon, or even breasts. Because bccs grow slowly, most are curable and cause minimal damage when caught and. Those with fair skin are more likely to get this cancer. Basal cell carcinoma (bcc) is the most common type of skin cancer. Metastatic cancer is cancer that spreads from its site of origin to another part of the body.
What is basocellular carcinoma, main symptoms and ... from clindoctor.com Learn more about invasive ductal carcinoma. Invasive ductal carcinoma (idc) is the most common type of breast cancer. Basal cell carcinoma is a type of skin cancer formed in the deepest layer of skin from exposure to sunlight or ultraviolet radiation. Definition of carcinoma in the definitions.net dictionary. Basal cell carcinoma is a cancer that begins in the lower or basal (base) layer of the epidermis, which is a person's outer layer of skin. It is not cancer and may not become malignant. These cells make up the epithelium, which is the tissue that lines the surfaces inside and outside your body. Immunotherapy is a type of biological therapy.biological therapy is a type of treatment that uses substances made from living organisms to treat cancer.
Most often, cancer is diagnosed when doctors discover the spot where the cancer began (primary tumor).
Carcinomas may spread to other parts of the body, or be confined to the primary location. It grows slowly, and is one of the least dangerous skin cancers despite it being the most common. Carcinoma in situ, or stage 0 cancer, refers to precancerous cells in a limited area. What is squamous cell carcinoma? About 80% of all breast cancers are invasive ductal carcinomas. Learn more about invasive ductal carcinoma. Still, doctors usually recommend surgery to prevent future. Learn more about basal cell carcinoma including what it looks like, its symptoms, causes, diagnosis, treatment, and prognosis at webmd. Carcinoma in situ, also called in situ cancer, is different from invasive carcinoma, which has spread to surrounding tissue, and from metastatic carcinoma, which has spread throughout the body to other tissues and organs. Immunotherapy is a type of cancer treatment that helps your immune system fight cancer. Basal cell carcinoma (bcc) is the most common type of skin cancer. Skin has several layers, but the two main layers are the epidermis (upper or outer layer) and the dermis (lower or inner layer). There are different subtypes, including adenocarcinoma, basal cell carcinoma, squamous cell carcinoma and transitional cell carcinoma.
Squamous cell carcinoma begins in the squamous layer of the skin. This creates masses called tumors. Immunotherapy is a type of biological therapy.biological therapy is a type of treatment that uses substances made from living organisms to treat cancer. It grows slowly, and is one of the least dangerous skin cancers despite it being the most common. Invasive ductal carcinoma (idc) is the most common type of breast cancer.
Is There A Surgery For Merkel Cell Carcinoma? from www.epainassist.com Basal cell carcinoma (bcc) is the most common form of skin cancer and the most frequently occurring form of all cancers. Carcinoma of unknown primary is a diagnosis given when doctors aren't able to locate where a cancer began. Like other types of cancer, carcinomas are abnormal cells that. Learn more about the symptoms, diagnosis, and treatment of the common. Basal cell carcinoma is a type of skin cancer formed in the deepest layer of skin from exposure to sunlight or ultraviolet radiation. Those with fair skin are more likely to get this cancer. Carcinoma is the name given to cancers that start in epithelial cells. Carcinoma in situ, or stage 0 cancer, refers to precancerous cells in a limited area.
Basal cell carcinoma is the most common type of skin cancer.
Some varieties of this tumor can be treated and even removed with the application of radiation, chemotherapy, drug therapy, and. Alone, an estimated 3.6 million cases are diagnosed each year. Carcinoma is a medical term used to describe a malignant or cancerous tumor. Learn more about invasive ductal carcinoma. What is squamous cell carcinoma? It grows slowly, and is one of the least dangerous skin cancers despite it being the most common. Learn how cancer spreads, possible symptoms, common sites where cancer spreads, and how to find out about treatment options. Information and translations of carcinoma in the most comprehensive dictionary definitions resource on the web. In general, carcinoma in situ is the earliest form of cancer, and is considered stage 0. Carcinoma in situ, also called in situ cancer, is different from invasive carcinoma, which has spread to surrounding tissue, and from metastatic carcinoma, which has spread throughout the body to other tissues and organs. Although it is the most common, it also rarely spreads to other parts of the body. Often, an abnormal area turns up on a screening mammogram. About 80% of all breast cancers are invasive ductal carcinomas.
Carcinoma is the most common type of cancer, which includes adenocarcinoma, squamous cell carcinoma, and basal cell carcinoma. Although it is the most common, it also rarely spreads to other parts of the body. Metastatic cancer is cancer that spreads from its site of origin to another part of the body. The following are some of the most common types of carcinoma. Carcinoma is a type of cancer that starts in cells that make up the skin or the tissue lining organs, such as the liver or kidneys.
What is cancer? | Loop PNG from looppacificassets.s3.amazonaws.com How to use carcinoma in a sentence. Although it is the most common, it also rarely spreads to other parts of the body. The skin is the body's largest organ. Basal cell carcinoma is a cancer that begins in the lower or basal (base) layer of the epidermis, which is a person's outer layer of skin. Basal cell carcinoma (bcc) is the most common type of skin cancer. Because bccs grow slowly, most are curable and cause minimal damage when caught and. Learn how cancer spreads, possible symptoms, common sites where cancer spreads, and how to find out about treatment options. Basal cell carcinoma is the most common type of skin cancer.
A carcinoma tumor is a malignant tumor which classically arises in the epithelial cells, the cells which line the organs and interior cavities of the body, in addition to providing the outer layer of the skin.
Carcinoma is the most common type of cancer, which includes adenocarcinoma, squamous cell carcinoma, and basal cell carcinoma. It begins in the epithelial tissue of the skin, or in the tissue that lines internal organs, such as the liver or kidneys. Carcinomas may metastasize to bone, liver, lung, brain. Carcinomas may spread to other parts of the body, or be confined to the primary location. Learn more about invasive ductal carcinoma. It is not cancer and may not become malignant. The immune system helps your body fight infections and other diseases. Squamous cell carcinoma begins in the squamous layer of the skin. Still, doctors usually recommend surgery to prevent future. There are 5 main groups. Learn more about the symptoms, diagnosis, and treatment of the common. Because bccs grow slowly, most are curable and cause minimal damage when caught and. One of the four major types of tumor, carcinoma is the most commonly seen variety in human beings, able to grow nearly anywhere in the body.
17.11.2021 · reuters logos and exchange rates of bitcoin, litecoin, monero and ether to swiss franc are seen on a cryptocurrency atm in zurich. Simply enter your business name and make a logo you'll love. Bitcoin falls more than 4% to near $60,000 ; The cryptocurrency cart continued to bleed on … Metaverse and its connection with cryptocurrency; What is a Cryptocurrency? â" CriptoMonedas from criptomonedas.org The cryptocurrency cart continued to bleed on … Simply enter your business name and make a logo you'll love. 17.11.2021 · reuters logos and exchange rates of bitcoin, litecoin, monero and ether to swiss franc are seen on a cryptocurrency atm in zurich. Bitcoin falls more than 4% to near $60,000 ; Crypto turns rs 1,000 into rs 2.37 crore in a day; Metaverse and its connection with cryptocurrency; Browse stunning logos ta...
How To Make Business Cards On Word 2007 : How To Make Your Own Business Cards In Word : > how to create business card templates in word? . Now, using word for design and printing applic. Find business card templates in word. Once the file is open just move the cursor (click in) to the area that needs editing and delete or backspace the old text out and type in the new text. Brother creative center offers free, printable templates for cards & invitations. Open the properties of the template and adjust the dimensions to the size you want for your small business cards. Once the file is open just move the cursor (click in) to the area that needs editing and delete or backspace the old text out and type in the new text. Open the properties of the template and adjust the dimensions to the size you want for your small business cards. Adjust the alignment, indentation, and spacing. Is 3.5 inches by 2 inches. I am looking for instruction on using a prepared template in...
Early Stage Neck Cancer Symptoms Pictures : Throat Cancer Pictures Early Stage - Cancer News Update : A chronic cough that lasts for at least eight weeks. . Symptoms of throat cancer more about early signs stages treatment. These cells multiply out of control, eventually forming a tumor in part of the head or neck. If cervical cancer is diagnosed, relieving symptoms remains an important part of cancer care and treatment. The earliest stage of cancer is referred to as stage 1, and presents with a smaller tumor that has not yet grown deeply into nearby tissues or the lymph nodes. While head and neck cancers make up only about 4% of all cancer cases, at least 75% of them are caused by tobacco and alcohol use. A lump or pain in the neck : Your care team will conduct tests. Thyroid cancer is a rare cancer with 4 different types. Nearly all skin cancers can be treated effectively if they are found early, so knowing what to. Laryngeal cancer, or cancer of the larynx, is the...
Komentar
Posting Komentar